Die Arthrose des Kniegelenks (Gonartrose) ist eine degenerative Erkrankung, bei der der Knorpel dünner ist. Nach Statistiken leidet jeder fünfte Einwohner des Planeten an dieser Pathologie. Dieser Artikel wird die Hauptursachen für Arthrose, seine Symptome in jedem Stadium sowie die Methoden der Diagnose und Behandlung berücksichtigen.
Ursachen
Jeden Tag erleben die Kniegelenke beim Gehen eine große Ladung. Immerhin müssen sie der Masse des gesamten Körpers standhalten. Infolgedessen gibt es einen allmählichen Verschleiß von Knorpelgewebe, der die Ursache für pathologische Veränderungen in den Knien ist.
Die Risikogruppe umfasst Personen:
- ältere Menschen,
- unter Übergewicht leiden,
- Osteoporose und Stoffwechselstörungen haben,
- habe jemals eine Kniegelenkverletzung erhalten,
- bestimmte Berufe vertreten,
- Leiden an Mikroelements, Mangel,
- mit schweren Sportarten beschäftigt.

In den meisten Menschen im Alter von 40 Jahren kann das Vorhandensein von Arthrose im zweiten oder späteren Entwicklungsstadium gefunden werden.
Die Hauptsymptome
Natürlich können Veränderungen des Knorpelsgewebes ohne Symptome nicht stattfinden. Mit einer Krankheit kann sich eine Person beschweren:
- ein Gefühl der Unbehagen in den Knien, nachdem sie in sitzender Position aufgewacht oder langfristig sind,
- Schmerzen in den Beinen nach einer langjährigen Position,
- ein brennendes Gefühl beim Klettern auf den Berg und die Treppe hinauf,
- Schwäche in den Beinen nach einer leichten Last sowie am Ende des Tages.
- Einige Patienten sind auch nachts im Schlaf besorgt.
Wichtig! Die Krankheit tritt nicht scharf auf, sie entwickelt sich im Laufe der Jahre. Schmerzen in den ersten Stadien können unbedeutend sein, aber im Laufe der Zeit kommt es immer wieder an.
Arthrose des Kniegelenks 1 Grad
In diesem Stadium beginnt die Gonarthrose gerade ihre Entwicklung, daher geht der Prozess für eine Person fast asymptomatisch. Einige Anzeichen sind jedoch immer noch zu sehen.
Eine Person spürt oft Müdigkeit in den Beinen, beachten Sie eine geringfügige Abnahme der Mobilität von ein oder zwei Kniegelenke. Dieses Phänomen ist am Morgen, in den ersten Minuten nach dem Erwachen, besonders charakteristisch.
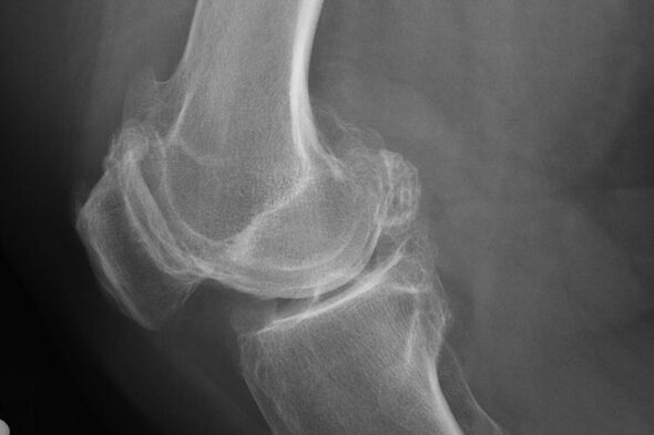
In der Regel tritt die Diagnose der Krankheit in diesem Stadium durch Zufall während eines X -Streits auf. Darauf kann der Arzt einige Unregelmäßigkeiten auf Knorpel bemerken. Es ist auch möglich, das Lumen zwischen den Teilen der Verbindung zu verengen.
Arthrose des Kniegelenks 2 Grad
Die Pathologie des Kniegelenks scheint ausgeprägter zu sein. Das Erscheinungsbild des Schmerzsyndroms ist charakteristisch, das durch zusätzliche Last des Gelenks provoziert wird.
REFERENZ. In diesem Stadium verläuft der Schmerz nach einer langen Pause unabhängig.
Darüber hinaus während der zweiten Stufe Symptome wie:
- Kristall mit bestimmten Bewegungen. Es kann sowohl in einem als auch in beiden Knien beobachtet werden. Die Crunch kann kaum spürbar sein, aber allmählich erwirbt er einen rauen, lauten und sehr unterschiedlichen Charakter.
- Reduzierung der Fähigkeit, das Bein im Knie vollständig zu biegen. Einige Menschen können dies nur mit einer Ecke von 90 Grad tun, dann tritt ein unangenehmes Gefühl auf, und sie sind gezwungen zu stoppen.
- Einige Patienten mit Gonartrose des 2. Stadiums beschweren sich über das Auftreten eines scharfen Schmerzes, der auftritt, wenn das Kniegelenk gebeugt ist.
- Es ist möglich, die Form des Kniegelenks zu ändern, es wird breiter und schwillt an. Dies ist auf die Ansammlung von pathologischer Flüssigkeit zurückzuführen.

Wenn im Kniebereich Beschwerden festgestellt werden, müssen Sie einen Arzt konsultieren, damit er die richtige Behandlung vorschreibt.
Arthrose des Kniegelenks 3 Grad
- In diesem Stadium werden im Gelenk des Gelenks sehr starke strukturelle Knorpeländerungen beobachtet. Wachstum, die eine große Größe haben, treten darauf auf.
- Die Krümmung des betroffenen Beins ist festgestellt. Es erhält eine 0-förmige oder x-förmige Biegung, die zu einem schwerwiegenden Hindernis für die volle Lebensdauer des Patienten wird. Infolgedessen kann eine Person eine behinderte Person werden.
- Ein charakteristisches Phänomen des 3. Stadiums der Krankheit ist schwerwiegende Schmerzen, die ständig beobachtet werden kann und sich nach einer beliebigen, sogar leichten Belastung verschärft.
- Eine Person bemerkt die Empfindlichkeit des Gelenks gegenüber Veränderungen des Wetters. Jetzt, da sich der Zyklon nähert, schmerzt das Knie, in dem sich das Knie anzieht.

Mit dem Alter reagieren die Gelenke auf Wetter- und Druckänderungen.
Arthrose des Kniegelenks 4 Grad
Es ist ein extremes Endstadium der Krankheit, in dem die Kluft zwischen den Knochen vollständig fehlt.
REFERENZ. Die meisten Orthopäden führen die vierte Stufe auf die dritte zurück. Dies ist auf die Ähnlichkeit der Symptome und die Komplexität der rechtzeitigen Diagnose zurückzuführen.
Da das Fehlen einer Lücke beobachtet wird, ist die Bewegung des Gelenks einfach unmöglich.
Darüber hinaus wird der Patient durch unerträgliche, ständige Schmerzen gequält, die nur durch starke Schmerzmittel gelindert wird. Aber nach einer Zeit, in der die Wirkung eines Tablets oder einer Injektion aufhört, tritt erneut ein unangenehmes Symptom auf.
Diagnostik
Eine Untersuchung des Patienten beginnt mit seiner Bitte um Hilfe bei einem Spezialisten. Sie können Therapeut oder Orthopädeer sein.
Der Arzt hört Beschwerden zu, sammelt eine Anamnesis und führt eine Prüfung durch. Zunächst wird er an externen Veränderungen des Gelenks, der Einschränkung der Mobilität in seinem Gebiet, interessiert sein.

X -Ray hilft dabei, Abweichungen im Knorpel zu identifizieren.
Bei der Prüfung beschwert sich der Patient über das Aussehen unangenehmer Empfindungen, und mit einem Glanz der Knieschale wird ein Knirschen gehört.
Wichtig! Eine Diagnose ist nach einer visuellen Untersuchung des Arztes nicht möglich, selbst bei allen Anzeichen der Krankheit. Nur eine umfassende Untersuchung ermöglicht es Ihnen, eine genaue Antwort auf die im Knie fließende Pathologie zu geben.
Nach der Untersuchung verschreibt der Arzt die Patient -Radiographie. Dies ist die Hauptmethode zur Diagnose der Arthrose des Kniegelenks eines beliebigen Grades.
X -Ray gibt dem Arzt eine Vorstellung von den Veränderungen im Knorpel des Gelenks. In einigen Fällen kann die Anfangsphase jedoch nicht im Bild definiert werden.
Bei Bedarf kann der Arzt einen wiederholten Durchgang einer Röntgen- oder Rechen- und Magnetresonanztomographie verschreiben.
Behandlung
Bei der Diagnose der Gonarthrose sollte eine sofortige Behandlung beginnen. Dies wird dazu beitragen, den Fortschritt der Pathologie zu stoppen und viele Komplikationen zu verhindern.
Die Therapie der Krankheit verfolgt mehrere Ziele gleichzeitig. Nämlich:
- Eliminierung des Schmerzsyndroms,
- Abnahme der Schwere anderer Symptome,
- die maximal mögliche Wiederherstellung des betroffenen Knorpels und der Bänder des Gelenks,
- Eine Zunahme der Mobilität des Gliedes.
Die Behandlung der Krankheit umfasst Methoden wie:
- Arzneimitteltherapie,
- Massage, Osteopathie, manuelle Therapie,
- Chirurgische Intervention,
- medizinische und vorbeugende Sportunterricht,
- Physiotherapie.
Drogenpflege
REFERENZ. Die medikamentöse Therapie ist die Hauptmethode zur Behandlung der Krankheit. Es ist jedoch am erfolgreichsten in Kombination mit anderen Methoden.
Zu den Medikamenten zur Behandlung der Gonarthrose gehören:
- Nichtsteroidale entzündungshemmende Medikamente - den Patienten von Schmerzen lindern, Entzündungen lindern. Diese Medikamente sind symptomatische Wirkstoffe, ohne die Ursache der Krankheit zu beeinflussen. Sie kämpfen nur mit seinen Manifestationen und bringen vorübergehend Erleichterung.
- Chondroprotektoren - Knorpelstoff wiederherstellen. Der Effekt wird jedoch nicht sofort spürbar. Die Medikamente haben kumulative (akkumulative) Eigenschaften, daher braucht der Körper Zeit für ihre volle Wirkung.
- Hormonelle Medikamente. Sie werden in der Regel mit fortgeschrittenen Erkrankungen vorgeschrieben. Diese Fonds können schnell Schwellungen und Entzündungen der Gewebe um das Gelenk lindern. Der Nachteil dieser Arzneimittelklasse ist die systemische Wirkung auf den Körper, bei dem viele unerwünschte Nebenwirkungen möglich sind. Sie werden nur in einer Zeitstudiengänge während einer Verschärfung des Prozesses vorgeschrieben.
- Externe Drogen, entwickelt, um Schmerzen zu lindern. In Form von Salbe, Creme veröffentlicht.
- Hyaluronsäure. Es ist eine neue Lösung bei der Behandlung von Gonartrose. Es ist eine intra -kartikuläre Einführung eines Mittel, das das Gelenk nährt. Es hat eine ziemlich hohe Effizienz. Die Methode ist jedoch durch Mängel wie: die Möglichkeit der Verwendung nur in den Anfangsstadien der Krankheit und den hohen Kosten des Arzneimittels gekennzeichnet.
Wichtig! Die Einführung von Arzneimitteln in die gemeinsame Lücke ist in 7-10 Tagen nicht mehr als 1 Mal zulässig.
Massage
Massage sowie manuelle und osteopathische Behandlung richten sich an:
- Schmerzeladung,
- Überwindung der Steifheit der Bewegungen in den Knien,
- Verbesserung der Blutversorgung am Standort des Knorpels,
- Nährstoffe und Sauerstoff im Bereich der Entzündung.
REFERENZ. Massage und ähnliche Verfahren sollten nur von einer Person durchgeführt werden, die eine Sonderausbildung hat. Andernfalls können Sie den Zustand des Gelenks schaden und verschlimmern.
Chirurgische Intervention
Es ist eine extreme Maßnahme bei der Behandlung von Arthrose, wenn die Krankheit extrem vernachlässigt wird und andere Therapieverfahren machtlos sind. Meistens wird Endoprosthetik verwendet, bei denen die betroffene Verbindung durch ein Implantat ersetzt wird.
Prothetik kann zwei Arten sein:
- voll - die gesamte Verbindung wird ersetzt,
- Teilweise - Nur der am besten abgenutzte Teil des Gelenkgelenks ist ersetzt.
Kontraindikationen für die Prothetik sind:
- chronische eitrige Infektionen;
- neuromuskuläre Störungen;
- Venenpathologien;
- Eine Reihe von Herz -Kreislauf -Erkrankungen.
Eine weitere Option ist die Korrekturosteotomie. Bei dieser Methode wird eine Platte in die Verbindung eingeführt, wodurch der Druck auf die betroffene Fläche des Knies verringert wird.
Trainingstherapie
Es handelt sich um eine regelmäßige und korrekte Umsetzung einer Reihe physischer Übungen, die darauf abzielen, das Gelenk zu stärken und ihre Mobilität wiederherzustellen.
Dieses Verfahren kann zu Hause unabhängig durchgeführt werden, nachdem er zuvor einen Spezialisten um Rat kontaktiert hat.
Verhütung
Das Befolgen einfacher Regeln verhindert das Auftreten oder Verschlimmerung der Zerstörung von Knorpel. Dafür brauchen Sie:
- Folgen Sie der Diät. Dies wird zur Körpergewichtskontrolle beitragen, dem Körper alle notwendigen Vitamine und Mineralien versorgen.
- Halten Sie sich an bestimmte Sportarten und verlassen Sie andere. Tatsache ist, dass bei Gonarthrose übermäßige Belastungen auf den Knien äußerst unerwünscht sind. Aus diesem Grund ist das Laufen und Springen besser durch Fahrradfahrten, Schwimmen oder Aquaerobik zu ersetzen.
- Regelmäßig therapeutische Übungen durchführen.
- Tragen Sie bequeme und orthopedisch korrekte Schuhe. Es ist inakzeptabel, Stollen und High Heels zu tragen, eine flache Sohle, die Schuhe mit einer kleinen Ferse bevorzugt.
Die Arthrose des Kniegelenks ist eine ziemlich häufige Krankheit, die lange Zeit unbemerkt bleiben kann. Trotz des asymptomatischen Beginns kann die Gonarthrose zu schwerwiegenden Komplikationen führen, was zu Behinderung ist. Daher ist es so wichtig, die Diagnostik rechtzeitig durchzuführen und die erforderliche Behandlung zu beginnen.
















































